Nowadays, titanium dental implants have become the standard solution for replacing missing teeth and dental crowns. The properties of this metal make it an evolutionary solution for numerous problems in the fields of medicine and dentistry. If you’re considering dental implants, it’s better to understand why patients often choose titanium dental implant treatment.
In this blog post, we’ll dive into the world of titanium implants and explore the history, pros and cons, and what you can expect during the procedure. Let’s start with when the benefits of this material were discovered in dentistry.
Walk-in Family Dental
Do You Need Emergency Dentist?
Walk-in Family Dental provides quick and expert care for dental emergencies, including toothaches and knocked-out teeth.

The Titanium Implant Process at Walk In Family Dentistry
At our North York clinic, we make the implant process simple and comfortable. From your first visit to your final crown, our team is with you at every step. Here is exactly what happens when you choose Walk In Family Dentistry for your titanium implant:
- Same-Day Consultation and Digital Assessment
Your journey starts with a consultation at our Finch Ave clinic. We review your medical history, check your oral health, and take digital X-rays to evaluate your jawbone. This allows us to tell you right away whether titanium implants are the right option for you. - Your Personal Treatment Plan
Based on your scan results, we create a treatment plan just for you. We explain how many implants you need, where they will be placed, and whether any extra steps like bone grafting are needed. We also go over the full cost and timeline before anything begins. - Implant Placement
The titanium implant is placed into your jawbone under local anesthesia. Most patients are surprised by how comfortable the procedure is. The appointment usually takes one to two hours, and many patients return to their daily routine the next day. - Healing Period (2 to 6 Months)
During this stage, the implant slowly bonds with your jawbone in a process called osseointegration. We schedule regular check-ins at our clinic to monitor your healing and make sure everything is going well. - Abutment Placement
Once the implant has fully bonded, we attach a small piece called an abutment. This short appointment is done right here at our North York office and prepares the implant for your final crown. - Custom Crown Fitting
Your crown is made to match the color, shape, and size of your natural teeth. Once it is ready, we attach it to the abutment. At this point, your new tooth looks and feels completely natural. - Follow-Up Care
We schedule follow-up visits to make sure your implant is working well. With good oral hygiene and regular checkups at Walk In Family Dentistry, your titanium implant can last 20 years or more.
The entire process from your first visit to your final crown takes between 4 and 8 months. Most of that time is simply your body healing. To get started, call us at (416) 742-1118 or book your appointment online.

The History of Titanium Implants
Titanium implants were first used in the 1950s. A Swedish orthopedic surgeon named Dr. Per-Ingvar Brånemark was the first person to discover that this material can have useful applications in medicine.
By that time, he was conducting research on bone healing and blood flow. He inserted titanium chambers into a rabbit’s leg bone and found that the metal bonded naturally with the bone tissue. We refer to this process as “osseointegration.” This also happens when we place an implant inside the jawbone of a patient looking to replace a missing tooth. The implant fuses with the jawbone and creates a strong foundation.
Before titanium, other materials were being tested for dental implants, but all of them failed to be compatible with the human body. Titanium, however, changed the rules of the game. It is now used for other medical applications as well.
Why Titanium? What Are Its Key Advantages?
Let’s explore the outstanding advantages that dental titanium implants offer, which make them a go-to option for many patients.
1. Biocompatible and Integrating with Human Tissues
This might be the most significant advantage of titanium. This metal integrates with human tissues without causing allergies and adverse reactions. While the human body rejects some other metals, it creates a peaceful and healthy relationship with titanium! Human bones and our metal friend fuse through the osseointegration process, and this bond is strong enough to enable a titanium implant to act as an artificial tooth root.

2. Strong and Durable
Titanium has an exceptional strength-to-weight ratio. This means that it’s lightweight yet incredibly strong. This is exactly what we need when it comes to tooth replacement. Titanium implants can withstand the daily stresses and forces exerted on them. Teeth are subject to such forces; therefore, a titanium implant is a great choice.
3. Resistant to Corrosion
Titanium doesn’t break down when exposed to bodily fluids. And there’s a reason behind this; when titanium is exposed to air, a protective oxide layer is formed over it. This helps titanium protect itself from corrosion, making it an ideal option for long-term implantation.
4. Non-magnetic Properties
Another benefit of titanium is that it is non-magnetic. This means patients with titanium tooth implants can undergo MRI scans and other medical procedures involving magnetic fields without any risks.
5. Versatile and Suitable for Various Applications
Titanium is a remarkably versatile material, used in applications ranging from small dental screws to large joint replacements. Its exceptional durability and adaptability allow it to be precisely shaped into various medical devices.
Discover the Power of Modern Dental Implants
Book an appointment at Walk In Family Dentistry to learn if titanium dental implants are the right solution for restoring your smile with strength and confidence.
What Are the Cons of Titanium Implants?
While titanium dental implants are a top choice for many, they’re not perfect for everyone. Let’s break down some of the potential downsides in a way that’s easy to understand.
- They can be expensive. With all these great features comes a higher price. Obviously, implants are not as affordable as traditional dentures. However, all the benefits of titanium implants can justify the investment you make.
- You should wait a while. As we previously discussed, the entire implant procedure takes several months. This takes longer than some other tooth replacement options.
- They might not be suitable for some. Some health conditions, like severe osteoporosis or compromised immune systems, can stop some people from getting implants. These individuals should try dental implants alternative treatments.
If you’re thinking of a more affordable procedure, like dentures, don’t miss our helpful guide on Dentures vs. Dental Implants.
Possible Side Effects of Titanium Dental Implants
While titanium dental implants are generally safe and well-tolerated, like any medical procedure, they come with potential side effects. Being prepared for these can help you make an informed decision and prepare for the process. Here’s a look at some possible side effects to be aware of.
1. Infection at the Implant Site
After surgery, there’s a small risk of infection if bacteria enter the area. This might cause swelling, pain, or redness around the implant. Good oral hygiene and following your dentist’s aftercare instructions can minimize this risk.
2. Discomfort or Pain
It’s normal to feel some soreness or discomfort after the procedure, especially in the first few days. Most pain is mild and manageable with over-the-counter medications; that said, some patients may experience prolonged discomfort if healing is delayed.
3. Nerve or Tissue Damage
In rare cases, the implant placement could affect nearby nerves, leading to tingling, numbness, or pain in the gums, lips, or chin. This is uncommon but may occur if the implant is placed too close to a nerve.
4. Allergic Reactions
Though extremely rare, some patients may have a sensitivity or allergic reaction to titanium. Symptoms could include swelling or irritation at the site. If you have a history of metal allergies, discuss testing with your dentist beforehand.
5. Sinus Issues
For implants placed in the upper jaw, there’s a slight chance of affecting the sinus cavities, potentially causing sinus discomfort or infections. This is more likely if the implant protrudes into the sinus area.
6. Implant Failure
In some instances, the implant may not fully integrate with the jawbone, leading to loosening or failure. This can happen due to insufficient bone density, smoking, or poor healing. Your dentist may need to remove and replace the implant if this occurs.
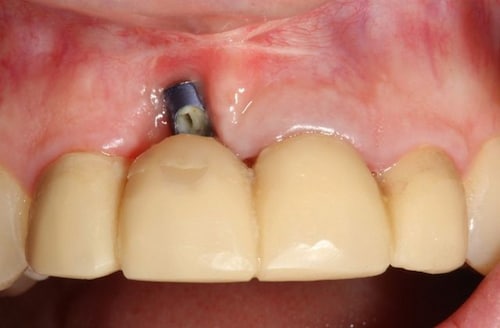
This is an example of a failed titanium dental implant, which can sometimes happen years after the surgery, even if the implant seemed fine at first. This is called late implant failure and is often caused by gum disease around the implant or ongoing bone loss in the jaw.

Titanium Implants vs. Ceramic Implants
If you were wondering whether titanium or ceramic implants are right for you, you should know that each has unique properties, benefits, and drawbacks. The comparison table below outlines key differences to help you decide which option may suit your needs.
| Aspect | Titanium Implants | Ceramic Implants |
|---|---|---|
| Material | Made from biocompatible titanium or titanium alloys, known for strength and durability. | Made from zirconia, a biocompatible ceramic material with a tooth-like appearance. |
| Strength and Durability | Extremely strong and fracture-resistant, ideal for long-term use and high bite forces. | Strong but more brittle than titanium, with a slight risk of cracking under heavy force. |
| Biocompatibility | Highly biocompatible, with rare instances of allergic reactions or sensitivities. | Excellent biocompatibility, hypoallergenic, and ideal for patients with metal allergies. |
| Aesthetics | May show a grayish hue under thin gums, less ideal for visible front teeth. | Naturally white, blends seamlessly with teeth, ideal for aesthetic concerns. |
| Osseointegration | Proven track record of fusing well with jawbone, ensuring stability over decades. | Good osseointegration, but long-term data is less extensive compared to titanium. |
| Cost | Generally more affordable, though costs vary based on procedure complexity. | Often more expensive due to material costs and manufacturing complexity. |
| Procedure Flexibility | Can be used in a wide range of cases, including complex reconstructions. | Best for single-tooth replacements; less versatile for complex or multi-implant cases. |
| Risk of Complications | Low risk, but potential for infection, nerve damage, or implant failure if not properly managed. | Similar risks, with added concern for chipping or fracturing in rare cases. |
In our implants vs bridges guide, you can explore the benefits of bridges and see if they better suit your needs.
Which One to Choose?
Titanium implants are the gold standard due to their durability, versatility, and extensive research backing their success. Ceramic implants, however, are gaining popularity for their aesthetic appeal and metal-free composition. This makes them a great choice for patients with metal sensitivities or those prioritizing a natural look. Discuss your specific needs, budget, and aesthetic goals with your dentist to determine the best option for you.
Final Word
Titanium dental implants represent a remarkable advancement in modern dentistry, offering a durable, biocompatible, and reliable solution for replacing missing teeth. Now you know the procedure, potential side effects, and how titanium compares to other materials, you can make an informed decision about whether these implants are right for you.
If you’re also considering a dental implant, our cosmetic dentist in North York at Walk-in Family Dental has got you covered. Our team of highly experienced dentists specializes in installing high-quality, durable dental implants in North York. Contact us today and start your smile transformation journey!
FAQ
Is titanium good for implants?
Yes, titanium is an excellent material for dental implants. It is strong, lightweight, biocompatible, and easily bonds with the jawbone, which helps implants stay secure for many years.
How long do titanium implants last?
Titanium tooth implants can last 20 years or more with proper care. In many cases, they last a lifetime if patients maintain good oral hygiene and attend regular dental checkups.
Are titanium teeth implants magnetic?
No, titanium implants are not magnetic. This means they won’t set off metal detectors or interfere with medical scans.
Which implant is better, titanium or zirconia?
Both have benefits. Titanium teeth implants are more widely used, durable, and have a long track record of success. Zirconia implants are metal-free and may appeal to patients with metal sensitivities, but they are newer and less studied.
What happens to titanium implants after 20 years?
If cared for properly, titanium implants remain functional and stable even after 20 years. However, the surrounding gum and bone health play a key role in their long-term success.
Are titanium dental implants safe for MRI?
Yes, titanium dental implants are generally safe for MRI scans. Titanium is non-magnetic, so it usually doesn’t interfere with imaging results.
Can titanium implants cause cancer?
No, there is no scientific evidence that titanium dental implants cause cancer. They are considered safe and have been used successfully for decades in dentistry.
Who is a Good Candidate for Titanium Implants?
Most healthy adults with good gum health and enough jawbone density are good candidates for titanium implants. If you have controlled overall health, are a non-smoker, and are 18 or older, you are likely a great fit for this treatment.
Have you or someone you know experienced titanium dental implants? Drop a comment below to join the conversation and help others learn more about this life-changing dental solution.

