
Toothache?
Broken Tooth?
Dental Emergency?
(647) 799-6622

-All You Need to Know
A dental emergency may occur all of a sudden and take you by surprise, leaving you in pain and discomfort any time of the day. At Walk In Family Dentistry, an expert team of emergency dentists in North York is always ready to use technical methods to diagnose your urgent conditions and treat them as fast as possible.
Chipped, fractured, broken, or severely decayed teeth are examples of these unwelcome surprises that need immediate attention.
Walk In Family Dentistry is also ready to offer you same-day dental services in North York to make sure your dental concerns are resolved quickly and with paramount care and quality.

-Serious Dental Issues Requiring Fast Treatment
Your teeth are pillars of your oral health and overall well-being and need to be preserved with great caution. Adhering to your dental routine is an essential step, but you cannot always avoid accidents. If you ignore the basics of oral health or damage your teeth in an accident, you will definitely require emergency dental services in North York. Chipped, fractured, broken, or severely decayed teeth are examples of these unwelcome surprises that need immediate attention.
Walk In Family Dentistry is also ready to offer you same-day dental services in North York to make sure your dental concerns are resolved quickly and with paramount care and quality.
A dental abscess can cause intense pain and swelling. Our North York emergency dentist provides prompt, gentle treatment to relieve your discomfort and prevent the infection from spreading.

If you’ve lost a filling or crown, don’t wait. Walk in Family Dentistry offers same-day emergency dental care in North York to restore your tooth and protect it from further damage.

Excessive or ongoing bleeding in your gums or mouth needs urgent attention. Our experienced emergency dentist in North York will assess the cause and provide fast relief to keep your smile healthy.

If you’ve had a tooth knocked out from a fall or accident, time is critical. Our skilled emergency team at Walk in Family Dentistry in North York can help save your tooth with fast and professional care.

Tooth decay is one of the most common dental issues and a major cause of loss. You should always watch for early footprints of cavities and stick to your oral health routine to avoid this real threat. However, if you ignore the fundamentals of oral care and do not treat your decayed tooth in time, you may end up in real trouble.

If an accident leaves you with a broken, chipped, or fractured tooth, we can help protect your stunning smile. Our professional North York emergency dentist at Walk in Family Dentistry offers a comprehensive range of top-notch dental emergency services in North York, including various tooth restoration options.

See the Difference Our Advanced Dental Treatments Make


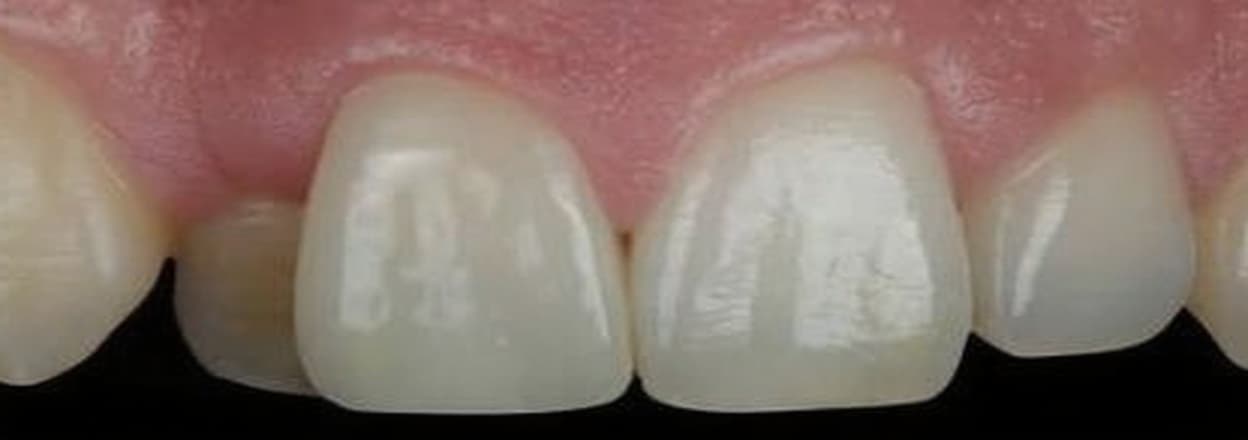
A patient presented after a work-related accident with a fractured upper front tooth. After a detailed assessment and timely management, the tooth was carefully restored back to full function and aesthetics.
“Quick treatment made all the difference. I was able to save my natural tooth, restore my smile, and return to work confidently without delay. The transformation gave me back both function and peace of mind.”

We aim to go above and beyond in meeting your needs for an emergency dentist in North York. Here’s why you should trust Walk-in Family Dental for your urgent dental care:
Experienced and Skilled Dentists: Our team consists of skilled dentists who are experts in providing emergency dental services. They are well-equipped to address various dental emergencies with skill and compassion.
State-of-the-Art Facilities: Our dental clinic in North York is fully equipped with state-of-the-art dental technology and modern facilities to provide precise diagnoses and efficient treatment for any dental emergencies you may have.
Compassionate and Caring Approach: We know that dental emergencies can be a challenging and painful experience. Our caring team is here to ensure that you receive the support and comfort you need during your visit.
Fast and Efficient Service: Your time matters to us, and we are fully committed to providing you with fast and efficient emergency dental care. Our primary focus is to relieve your pain and promptly resolve any dental issues you may be experiencing.
Comprehensive Dental Solutions: We understand that everyone’s dental needs are different, which is why we provide comprehensive solutions to cater to your unique requirements and restore your oral health, from immediate pain relief to long-term treatments.

Everything You Need to Know
Yes, at Walk-in Family Dental, we welcome walk-in patients for emergency dental care. However, we recommend calling us beforehand, if possible, to ensure better services and minimize wait times.
It is crucial to seek emergency dental care as soon as possible. Prompt treatment can help alleviate pain.
If you’re facing a dental emergency, you can visit Walk In Family Dentistry for immediate care. We are conveniently located near Jane and Finch in North York, making it easy to reach us quickly for urgent dental treatment.
Walk-In Family Dentistry: Your Trusted Dental Clinic, Proudly Serving the Communities of Humber Summit, Humbermede, Black Creek, Glenfield–Jane Heights, West Humber–Clairville, York University Heights, Downsview, Jane and Finch, and surrounding areas.
New patients receive a complimentary whitening session with every complete exam, including full X-rays and professional cleaning. Quality care made affordable for the whole family.
Professional whitening is safe for most patients. Your dentist will assess your suitability during the exam and only proceed if it is right for you.
70 of 100 spots claimed
Book my free whiteningLimited-time offer. No credit card required.