Dentures are a fresh start for many people; a way to return to a beautiful smile and a normal life. However, alongside the benefits of dentures, problems such as sores and gum inflammation can sometimes occur; these issues may be normal in the early days of using dentures, but if they persist or worsen, they can be a sign of a problem with the prosthesis or the way it is used.
In this article, we examine the pictures of denture sores, mention why these sores occur, what symptoms they have, and how they can be treated or prevented from recurring.
What Causes Denture Sores?
Before diving into pictures of denture sores, you should know that they are a common problem among people who use prosthetics to replace missing teeth. This issue usually occurs for various reasons, the most important of which are:
- Ill-fitting prosthesis: If the denture impression is not accurate or the prosthesis changes shape over time, it puts pressure on the gums and gradually causes sores.
- Pressure or friction from the prosthesis: When dentures put excessive pressure on one area of the gums or constantly rub against it, that area becomes sore.
- Poor-quality prosthesis material: Using low-quality materials may cause roughness or deformation of the denture and damage gum tissue.
- Poor hygiene: The buildup of plaque, bacteria, and fungi (especially Candida) on dentures can lead to gum inflammation and infection.
- Dry mouth: Reduced saliva increases gum sensitivity and raises the likelihood of denture sores.
- Continuous use of the prosthesis: Wearing dentures overnight prevents the natural healing of gum tissue and increases the risk of inflammation.
- Unhealthy diet: Consuming hard, spicy, or acidic foods, as well as excessive sugar and tobacco use, can worsen denture sores.
Note: In some cases, where dentures don’t fit properly, people may consider getting dental implants, which are far more stable.
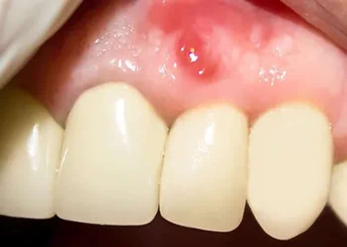
Types of Denture Sores and Their Symptoms
Sores caused by dentures can have different appearances and symptoms depending on their cause. Recognizing these sores helps with earlier diagnosis and easier treatment. Let’s see the pictures of denture sores here:
Pressure Sores from Dentures

This type of sore usually occurs when dentures apply continuous pressure to a point on the gums. In this case, small red or swollen areas appear on the gums. For example, if the denture is too tight or even loose, a specific point on the gum is put under pressure and gradually becomes sore.
Concerned About Denture Sores or Oral Discomfort?
At Walk In Family Dentistry, we provide professional denture adjustments, oral exams, and personalized treatments to keep your smile comfortable and healthy. Don’t ignore persistent sores; early care makes all the difference.
Frictional or Open Sores (Ulcers)

These sores occur when sharp or rough edges of the denture repeatedly rub against the gums. As a result, small but painful sores develop, sometimes accompanied by mild bleeding.
Fungal Inflammation (Denture Stomatitis)

In this condition, the gums or the roof of the mouth (especially under the denture) become red and inflamed, and sometimes white or gray patches are also visible. This problem usually occurs due to the overgrowth of Candida fungus and poor denture hygiene, and it is also called “denture fungus,” which is more common in older adults. If you are eligible, regular check-ups with a CDCP dentist will detect this issue early.
Sores Caused by Denture Allergy

Some people are sensitive to denture materials such as acrylic resin or metals. In this case, an allergic reaction can cause redness, swelling, itching, or burning in the area where the denture contacts the gums.
Canker Sores

In some people, mild friction between the denture and the gums or lips causes small aphthous ulcers. These sores usually appear as red spots with a white center and often heal on their own within 10 to 14 days.
Corner-of-the-mouth Sores (Angular Cheilitis)

Sometimes, pressure from dentures and the accumulation of fungus around the mouth cause red, painful, and inflamed cracks at the corners of the lips. In this condition, the burning sensation makes opening and closing the mouth difficult.
Read more: “Are Dentures Comfortable? Here’s What You Should Know!”
Treatment of Denture Sores
The treatment of denture-related sores does not have a single fixed method and varies depending on the cause. After examining the oral condition, the dentist selects the best treatment method to relieve pressure, inflammation, or infection.
- Adjustment and modification of the prosthesis: If the sore is due to sharp edges of the denture, the prosthesis is polished or corrected using relining (refitting) to reduce pressure on the gums.
- Infection treatment: In cases of fungal or bacterial infection, the dentist prescribes antifungal medications such as nystatin or miconazole, as well as anti-inflammatory drugs.
- Reducing pressure on the gums: In some cases, a soft liner is used inside the denture to reduce pressure on the gums and speed up healing.
- Replacing the prosthesis: If the denture is old or cannot be corrected, making a new prosthesis is recommended.
How to Prevent Denture Sores
Preventing sores caused by dentures is necessary for having healthy gums and avoiding pain and inflammation. By following a few simple tips, the likelihood of these sores can be minimized and future problems prevented.
| Methods | Action | Time | Goal |
| Brushing | Brushing teeth and gums | Twice daily | Reduce bacteria |
| Denture cleaning | Cleaning with solution | Every night | Prevent fungus |
| Denture adjustment | Reline/ correction | Every 6 to 12 months | Reduce pressure |
| Gum rest | Removing dentures | Every night | Reduce pressure |
| Check-up | Visiting the dentist | Annually | Early detection |
Conclusion
Denture sores are usually caused by pressure or friction from the prosthesis or poor oral hygiene. By properly adjusting dentures, maintaining oral hygiene, and having regular dental check-ups, this problem can be prevented. At the beginning of use, mild sores may be normal, but if a sore lasts more than two weeks, it is necessary to visit a dentist. Looking at pictures of denture sores can also help you better understand what these issues look like and recognize them earlier.
FAQ
Who is more at risk of denture sores?
People with diabetes, those who suffer from dry mouth, and individuals with weakened immune systems are more at risk of developing sores caused by dentures. This is because, in these individuals, sores heal more slowly, there is less saliva in the mouth, and the body also has a weaker response to inflammation and infection.
Can weight changes or gum recession cause denture sores?
Yes, weight changes and gum recession can cause denture sores. Over time, the gums and jawbone change shape, causing the denture to become loose and exert pressure on the gums during use, which leads to sores and inflammation.
Why do some people still develop sores despite using dentures correctly?
Even with proper use of dentures, sores may still occur because, over time, the gums and jawbone change, and the prosthesis no longer fits as perfectly as before.
Have you ever experienced denture sores or noticed similar symptoms? Share your experience or questions in the comments. We’d love to hear from you and help!

