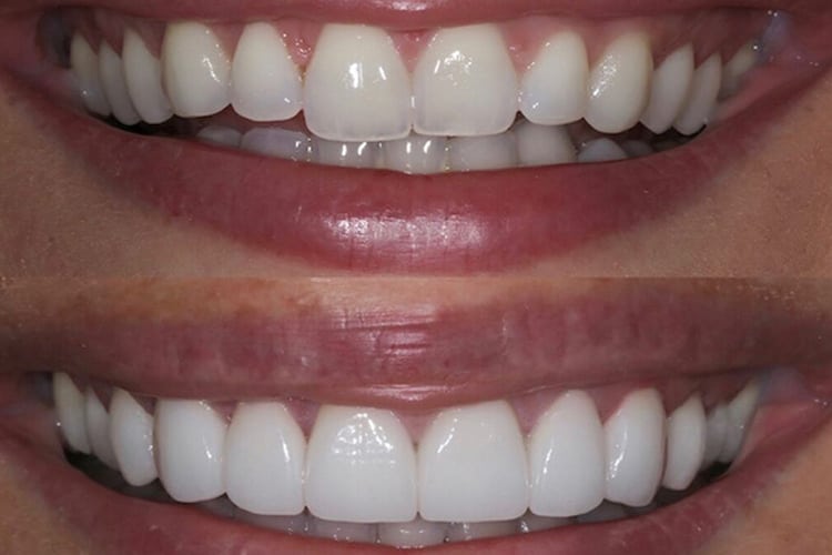
Dental Veneers are commonly made of two different materials: composite resin or porcelain. Porcelain veneers, these aesthetic saviors, are thin shells made of porcelain, or ceramic, that the dentist places on the surface of your teeth. These custom-made dental covers are chosen to resemble the natural color of your teeth and make up for the imperfections in their appearance.
8 Things to Consider Before Getting Porcelain Veneers
You’ve surely heard of veneers, the magical covers that make your teeth bright and beautiful. Are you tempted to get Porcelain Veneers Toronto? Perfect! Let us level up your information about veneers and tell you the most important things that you need to know before going through the procedure of rebuilding your precious smile!

The Journey to Porcelain Veneers Toronto
If you’ve been approved as a suitable candidate for porcelain veneers, the whole process can be completed in just two visits. Your first step is to consult with Walk in Family Dentistry, the best Family Dentistry in North York, your Chandler cosmetic dentist. He will assess your mouth to confirm you’re a good fit for veneers. It’s important to complete any other necessary dental work before starting this process.
For example, you wouldn’t want to go through getting veneers only to need a root canal later on. Any required implants or cavity fillings should be taken care of first.
During your initial veneer appointment, your dentist will remove a very thin layer of enamel from your teeth—imagine it being thinner than a fingernail. Next, they will take impressions to create a mold for your permanent veneers.
After that, you’ll receive a temporary restoration. This stage is perfect for evaluating the appearance and feel of your new teeth, including their shape and color, before the final veneers are applied.
On your second visit, the temporary restoration is taken off. Your teeth will then be prepared with a bonding glue, and the permanent veneers will be placed.
Most patients opt for a local anesthetic during these visits to ensure comfort.
Walk-in Family Dental
Do You Need Emergency Dentist?
Walk-in Family Dental provides quick and expert care for dental emergencies, including toothaches and knocked-out teeth.

Getting Porcelain Veneers Toronto
Dental Veneers are the solution to various aesthetic dissatisfactions that you have regarding the appearance of your teeth. Veneers can be used to:
- Fix chips and cracks
- Fill the gaps between your teeth
- Repair broken teeth
- Changing the shape and size of teeth
- Covering discoloration and stains on teeth
Porcelain Veneers vs. Composite Veneers
As we mentioned earlier, two types of material are used for covering the unfavorable look of your teeth by dental veneers: porcelain and composite resin. You might have questioned the differences between these two. If you are confused about choosing the right option for you, keep reading! We will have a comprehensive look at both options, addressing the pros and cons of each and providing a criterion to choose the better option wisely. You need to consider the following factors while deciding on your new smile:
- Appearance: Porcelain veneers are more realistic in terms of translucency. They reflect the light in a way that is similar to natural tooth enamel; therefore, they provide a realistic and natural appearance. On the other hand, composite veneers are more adjustable in terms of color shades, and they can be customized to match the natural color of your teeth.
- Vulnerability to stain: Porcelain veneers are less prone to discoloration and stains compared to composite veneers. So, you need to consider some of your habits, like smoking and eating or drinking things that may stain your teeth.
- Durability: While composite veneers can last up to 7 years, porcelain veneers have a longer lifespan. With proper care, they can last up to 15-20 years.
- Cost of Veneers: Composite veneers are generally more cost-effective than porcelain ones, so you can think of them as a more budget-friendly option.
- Length of the process: Composite veneers are quicker to apply, and you can go home with a refreshed shine on your teeth after a single session. But in order to get porcelain veneers, you need to visit your dentist at least two times.
By thinking carefully about your needs and purposes, and receiving consultation from your dentist, you can take the next step toward a shinier smile.
If you need consultation on the best option for you, you can contact us to discuss your case in detail. Our team of dentists with several years of experience in applying dental veneers will guide you to choose confidently. Located in Toronto, Ontario, Walk-In Dental Clinic provides a broad spectrum of dental options and procedures to address your cosmetic and restorative dental needs in a comfortable and friendly environment. We look forward to seeing you and offering you the smile you wish for.

Some of The Drawbacks of Porcelain Veneers
Porcelain Veneers Are Irreversible: In order to apply porcelain veneers, the dentist has to remove some enamel from your natural tooth. Once removed, the enamel cannot be added again. So, getting porcelain veneers is an irreversible process.
Increased Sensitivity: Porcelain veneers may make your teeth more sensitive to temperature changes. However, this increased sensitivity is usually temporary but can be a consideration if you have pre-existing sensitivity issues.
Porcelain Veneers need proper maintenance: While porcelain veneers are relatively low-maintenance, they still require regular oral hygiene practices. When you get porcelain veneers, you should avoid biting on hard objects or using your teeth as tools.
They Can Be Costly: Porcelain veneers can be relatively expensive compared to other cosmetic dental procedures, especially if they’re not covered by your insurance.
Walk-in Family Dental Consultation

For the pinnacle of porcelain veneers services in Toronto, look no further than Walk in Family Dentistry. Renowned for its unparalleled expertise in cosmetic dentistry in North York, this clinic stands as the epitome of excellence in delivering exceptional porcelain veneer treatments. At Walk in Family Dentistry, the cost of porcelain veneers is determined after a thorough examination, ensuring that each patient receives a personalized and transparent assessment tailored to their unique needs.
What sets this clinic apart is not only its commitment to providing the best possible results but also its dedication to transparency and patient satisfaction. To further facilitate individuals considering this transformative dental procedure, Walk in Family Dentistry offers free consultations, allowing prospective patients to explore their options and make informed decisions without any financial obligation. Choosing Walk in Family Dentistry ensures not only superior porcelain veneers services but also a commitment to transparency, personalized care, and an overall exceptional dental experience.

Porcelain Veneers Cost Toronto
The cost of porcelain veneers can vary based on several factors, including the dentist’s experience, the dental clinic’s location, the number of veneers needed, and any additional procedure required. It is notable that dental veneers are not usually covered by dental insurance because they’re considered cosmetic procedures.
Walk in Family Dental clinic in North York offers the remarkable combination of highly affordable porcelain veneers without compromising on quality. In an area where the cost of Porcelain Veneers Toronto, North York tends to be notably high due to the expertise of dentists in Toronto, Walk in Family Dentistry stands out as an exception. Despite the clinic’s unwavering commitment to delivering top-notch dental care, the cost of porcelain veneers in North York, Toronto at Walk in Family Dentistry remains surprisingly reasonable. This unique balance of affordability and excellence makes Walk in Family Dentistry a standout choice for individuals seeking high-quality porcelain veneers without the premium price tag typically associated with such expert services in the Toronto, North York region. With a focus on providing accessible and exceptional dental solutions, Walk in Family clinic ensures that achieving a radiant smile through porcelain veneers is not only a realistic goal but an affordable one for all.
How Are Porcelain Veneers Applied in Toronto?
It is a good idea to get familiar with what happens during the process of applying porcelain veneers. This makes you mentally ready for the main part of your cosmetic dental procedure:
- Consulting Your Dentist: First, the dentist should decide if porcelain veneers are the right option for you. This is done by discussing your goals and expectations, taking X-rays, and assessing your oral health.
- Creating a Treatment Plan: Once decided that nothing prevents you from getting porcelain veneers, the dentist will create a treatment plan, including the number of veneers needed, your desired shape and color, and any other considerations.
- Preparing Your Tooth: To make room for the veneers and ensure a proper fit, a thin layer of enamel will be removed from the front surface of your teeth. Your dentist may apply local anesthesia to minimize the amount of discomfort.
- Impressions: This step is done to create your customized veneers that fit your teeth precisely. So, the dentist will take impressions (molds) of your teeth.
- Fabricating Veneers: The impressions which have been taken of your teeth are sent to a dental laboratory where skilled technicians create your porcelain veneers. This stage often takes a few weeks.
- Veneer Placement: Now it’s time to go back to your dentist’s office. The dentist will check if the veneers fit your teeth. The color and appearance of each veneer will be checked as well.
- Bonding: The bonding process involves cleaning and etching the surface of the teeth. A special adhesive is applied to the veneer, and it is carefully placed on the tooth afterward.
- Curing: The dentist will use UV to harden the adhesive and bond the veneer securely to your tooth.
- Final adjustments: If other adjustments are needed, the dentist will address them.
- Follow-up: You may have a follow-up appointment to ensure that the veneers are functioning properly and that you are satisfied with the results.

When Are Porcelain Veneers Not the Right Option?
Unfortunately, some of the conditions may prevent you from getting porcelain veneers, and you may have to address them before proceeding with the procedure. These conditions include:
- Unhealthy Teeth and Gum Disease
- Insufficient Enamel
- Bruxism (Teeth Grinding)
- Teeth that are severely misaligned
- Issues with your bite
- Teeth with large fillings or cavities
- Pregnant or breastfeeding women
Contact Walk In Family Dental clinic for a free consultation regarding the cost of Porcelain Veneers Toronto, Toronto.
Get Porcelain Veneers in North York
Now you have the information that you need to decide on getting porcelain veneers better. We hope that this article has been useful for you. If you need further consultation, contact us to receive full guidance and the information that you need on getting porcelain veneers in Toronto. Equipped with modern technology, profound expertise of our dentists, highest quality materials, and a friendly atmosphere, Walk-In Family Dental is where your journey to a confident smile starts.
Walk in Family Dentistry stands out as one of the premier dental clinics in the Toronto North York area, particularly renowned for its exceptional porcelain veneers treatment. Boasting a team of highly skilled and experienced dental professionals, the clinic is dedicated to providing top-notch oral care with a focus on aesthetic dentistry. Patients seeking porcelain veneers can trust Walk in Family Dentistry for its commitment to delivering outstanding results, enhancing smiles with precision and artistry.
The clinic’s state-of-the-art facilities, coupled with a patient-centric approach, make it a standout choice for those in pursuit of excellence in cosmetic dentistry. With a reputation for excellence and a commitment to patient satisfaction, Walk in Family Dentistry emerges as one of the best clinics for porcelain veneers in North York, Toronto, ensuring each individual receives personalized care and achieves the radiant smile they desire.
FAQs
How much do porcelain veneers Cost?
Porcelain veneers in Toronto cost $800 to $2,500 per tooth.
Is porcelain veneers worth it?
Worth depends on your priorities. Veneers create beautiful smiles but are expensive and permanent.

