When you get a dental crown, it isn’t simply placed on your tooth like a cap. What truly holds it in place is something called dental crown glue, also known as dental cement. This material plays a vital role in ensuring your crown stays strong, stable, and functional for years. Without the right glue, or if it fails, your dental crown could loosen, fall out, or even cause damage to your underlying tooth structure.
Many patients ask us what this glue really is, how it works, and what to do if they experience problems with it. This guide will give you everything you need to know about dental crown glue, from its types and uses to maintenance tips and common problems. First, let’s see what this type of cement is.
Walk-in Family Dental
Do You Need Emergency Dentist?
Walk-in Family Dental provides quick and expert care for dental emergencies, including toothaches and knocked-out teeth.

What is Dental Crown Glue?
Dental crown glue or dental cement is a special adhesive used in prosthodontics (one of the branches of restoration dentistry). It acts as a bonding agent between the natural tooth enamel or dentin and the crown itself, ensuring both stability and a marginal seal that prevents bacteria from sneaking underneath.
This glue must be strong enough to handle daily chewing forces, resist saliva and food acids, and still be safe for your natural tooth. Unlike regular household glue, dental crown glue is carefully designed to interact with tooth material and crowns without harming your mouth.
Why is Dental Glue Important?
Dental glue plays a much larger role than simply attaching a crown to a tooth. It ensures crown retention by keeping the restoration securely in place, which allows you to chew and bite with confidence. The glue also protects the underlying tooth structure by creating a marginal seal, preventing bacteria and food from leaking under the crown and causing decay.
Additionally, the right cement extends the longevity of crown restoration, making it possible for crowns to last many years without complications. A strong and properly applied adhesive also contributes to comfort, ensuring the crown feels natural and stable during everyday use. Without reliable dental glue, even the best crowns would quickly fail.
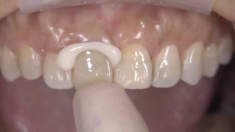
In the video below, you can watch how a dentist cements a zirconia crown to the tooth.
Concerned about getting tooth decay in the future? Our guide to preventing tooth decay offers practical tips.
Types of Dental Crown Glue
There are two main types of crown glue: permanent and temporary. However, not all glues can be used as both permanent and temporary. Each type of cement has its own category and purpose. Let’s explore them one by one.
Permanent Dental Cements
These are designed to last many years and provide a strong, durable bond. Permanent dental cements include:
- Resin cement: Always used permanently because of its strong adhesion and esthetics.
- Glass ionomer cement: Permanent, bonds chemically to tooth structure and releases fluoride.
- Zinc phosphate cement: Permanent, provides mechanical retention but no chemical bond.
Temporary Dental Cements
These are meant for short-term use, usually when placing a temporary crown while the permanent one is being made.
- Zinc oxide-eugenol cement (traditional temporary cement): Gentle on teeth, easy to remove.
- Resin-based temporary cement: Offers slightly more retention but still designed for easy removal.
The key difference is that permanent cements provide strong adhesion and marginal sealing, while temporary cements are weaker on purpose so the crown can be removed without damaging the underlying tooth.
Permanent vs. Temporary Dental Cement
Please remember that using a temporary cement for permanent placement would risk early loosening and decay, while using a permanent cement on a temporary crown would make removal very difficult (and possibly damage your tooth). In the table below, we’ve displayed how these two are different.
| Feature | Permanent Dental Cement | Temporary Dental Cement |
| Strength | Strong, long-lasting bond | Weak, designed for easy removal |
| Purpose | Used for final crown placement | Holds temporary crowns in place |
| Examples | Resin cement, glass ionomer, zinc phosphate | Zinc oxide-eugenol, resin-based temporary cements |
| Marginal Seal | Tight seal to protect tooth structure | Looser seal, not meant for long-term protection |
| Duration | Years or decades | Days to weeks |
Dental Crown Loose or Missing? Visit Us Now!
At Walk In Family Dental, we provide same-day appointments for crown emergencies. If your crown has fallen out, don’t panic; call us, and we’ll restore your smile quickly and safely.
How Dental Crown Glue Affects Crown Retention and Longevity
Crown glue is directly tied to how long your crown lasts. A strong adhesive creates a stable bond, preserves the underlying tooth, and resists chewing pressure. Weak or poorly applied cement, on the other hand, shortens the life of the crown. Dentists carefully choose the right type of cement based on:
- Crown material (ceramic, porcelain-fused-to-metal, or gold)
- Tooth condition (healthy enamel vs. reduced structure)
- Patient’s bite and habits
In short, without the right crown glue, even the most expensive crown won’t last.

Are you also considering dental veneers and are not sure if they or dental crowns suit your needs? This article gives you more insight: Exploring the Magic of Veneers and Crowns
How to Use Dental Crown Glue at Home
Sometimes a crown may fall out when you least expect it. While you should always visit your dentist as soon as possible, you can use temporary dental glue at home to hold it in place until your appointment.
- Clean the crown and tooth: Rinse both gently to remove food particles.
- Dry thoroughly: Moisture can weaken the bond.
- Apply a small amount of temporary crown cement: Found at most pharmacies. Avoid regular glue; it’s unsafe.
- Press the crown onto your tooth: Bite down gently to set it.
- Wipe away excess cement: Prevents gum irritation.
Important: Home use is only a temporary fix. A professional dental procedure is necessary to properly reseal your crown.
How to Maintain Dental Glue to Crowns?
Keeping your dental crown in top condition doesn’t just depend on the crown itself but also on the glue that secures it. Practicing good oral hygiene is the first step; brushing twice daily and flossing carefully around the crown helps maintain the marginal seal and prevents bacteria from weakening the adhesive.
It’s equally important to avoid overly sticky or hard foods, as these can loosen the bond or even pull the crown out. Moreover, regular dental checkups are essential because your dentist can monitor the integrity of the cement and catch any early signs of failure.
Do you grind your teeth? Then, wearing a nightguard will help reduce pressure on the glue and extend the crown’s lifespan. With proper care, the adhesive can keep your crown stable and functional for over a decade.

What Are Common Problems with Dental Glue for Crowns?
Even the best dental cement may face issues. Understanding the common problems is important to be prepared and act immediately to save your tooth.
- Loose crowns, which are often caused by cement breakdown.
- Over time, saliva and chewing forces can erode the glue, leading to cement washout.
- Poor marginal seal, which can lead to decay underneath.
- Some cements may cause temporary tooth sensitivity.
- Old, hardened cement may be difficult to remove during replacement.
According to an article published on PubMed, for a crown to fit perfectly, the edge needs to be a bit loose at first so the glue can escape, making the crown sit just right!
Secure Your Crown: Find the Perfect Glue Solution
Dental crown glue might not be visible, but it plays a crucial role in keeping your crown strong, functional, and long-lasting. From temporary crown cement to resin-based permanent cement, the right choice ensures comfort and durability.
If you ever face issues with your crown or its glue, don’t ignore them; timely care can save your crown and your natural tooth. It’s best to visit a dentist immediately to prevent damage to the underlying tooth. Our emergency dentist North York is always ready to provide you with immediate and gentle dental care.
Moreover, at Walk In Family Dental, our team specializes in crown restoration, using advanced techniques and the best cements for lasting results. Whether you need a new crown or help with an old one, we’re here for you.
Walk-in Family Dental
Do You Need Emergency Dentist?
Walk-in Family Dental provides quick and expert care for dental emergencies, including toothaches and knocked-out teeth.

FAQ
What type of glue do dentists use for crowns?
Dentists use dental cement, such as resin cement, glass ionomer, or zinc phosphate. The choice depends on your crown type and tooth condition.
Which type of dental crown is better?
There’s no one-size-fits-all. Porcelain crowns look most natural, metal crowns are extremely durable, and porcelain-fused-to-metal offers a balance. Your dentist will recommend the best option based on your needs.
What are the different types of orthodontic and dental glue, and what are they made of?
Dental glues include resin cement (composite resin), glass ionomer (fluoroaluminosilicate glass + acid), zinc phosphate (powder + phosphoric acid), and temporary cements (zinc oxide-eugenol or resin). Orthodontics also uses resin adhesives for braces.
What crown cement do dentists use?
For permanent crowns, dentists usually prefer resin cement for esthetics and strength or glass ionomer for chemical bonding and fluoride release.
Have you ever had a crown fall out or needed to re-cement it at home? Share your experience in the comments; we’d love to hear your story!

